JC PATH LAB

Laboratorio de Anatomía Patológica

Diagnósticos de Alta Precisión con Tecnología de Calidad Mundial 🔬

Certificación ISO Resultados en 3 días

Segunda Opinión, Biopsias y Diagnóstico Oncológico de Alta Precisión

Recojo a domicilio en todo Lima, y recepción de encomiendas de provincias.

+15 Años de Experiencia
+50,000 Estudios Realizados
100% Confianza Médica

Anatomía Patológica y Diagnóstico Especializado

Realizamos estudios histopatológicos de alta calidad. El análisis microscópico de tejidos (biopsias) es fundamental para detectar cáncer, tumores benignos y procesos inflamatorios. Ofrecemos resultados rápidos y precisos para guiar tu tratamiento médico inmediato.

LISTA DE PRECIOS - BIOPSIAS

BIOPSIA GÁSTRICA
80Soles
BIOPSIA DE ESÓFAGO, INTESTINO DELGADO Y COLON
80Soles
BIOPSIA DE CERVIX
80Soles
CONO CERVICAL
120Soles
BIOPSIA DE PRÓSTATA (POR 6 FRASCOS)
250Soles
Marcadores Hematolinfoides (Linfomas y Leucemias)
  • CD1a: Identifica células de Langerhans; crucial para diagnosticar la histiocitosis X.
  • CD3: El marcador universal para identificar Linfocitos T (células clave del sistema de defensa).
  • CD4: Subtipo de linfocitos T; importante en la evaluación de enfermedades inmunes y linfomas.
  • CD5: Ayuda a clasificar leucemias crónicas y linfomas de células pequeñas.
  • CD7: Uno de los marcadores más tempranos de células de defensa T; útil en leucemias agudas.
  • CD8: Identifica linfocitos T 'asesinos'; mide la fuerza del sistema inmune contra el cáncer.
  • CD10: Marcador de células germinales de los ganglios; útil en el estudio de linfomas y cáncer de riñón.
  • CD15: Característico de las células de Reed-Sternberg en el Linfoma de Hodgkin clásico.
  • CD19: Marcador fundamental para identificar todas las etapas de desarrollo de los Linfocitos B.
  • CD20: El marcador más importante para el diagnóstico y guía de tratamiento de Linfomas de células B.
  • CD21: Identifica las redes que sostienen a los linfocitos en los ganglios; útil en linfomas foliculares.
  • CD23: Ayuda a diferenciar la leucemia linfática crónica de otros tipos de linfomas.
  • CD30: Clave para el diagnóstico del Linfoma de Hodgkin y linfomas anaplásicos de células grandes.
  • CD43: Ayuda a detectar anormalidades en linfocitos B y T; útil en la clasificación de linfomas.
  • CD45: Antígeno Común Leucocitario; confirma que el tumor se origina en el sistema de la sangre.
Marcadores Epiteliales (Carcinomas)
  • Panqueratina: Marcador universal de carcinomas (tumores de origen epitelial).
  • CITOKERATIN 7: Indica origen glandular (mama, pulmón, ovario).
  • CITOKERATIN 20: Específico para el tracto digestivo (colon) y células de la piel.
  • EMA: Antígeno de membrana epitelial; útil en diversos carcinomas.
  • BER-EP4: Ayuda a distinguir el carcinoma basocelular de otros tumores cutáneos.
  • P40: El marcador más fiable para el carcinoma de células escamosas.
  • TTF-1: Identifica con precisión tumores originados en pulmón o tiroides.
  • PSA: Antígeno Prostático Específico; clave para el tejido de la próstata.
  • GATA 3: Excelente marcador para tumores de mama y de la vejiga (urotelio).
  • PAX-8: Fundamental para diagnosticar tumores de riñón, tiroides y sistema ginecológico.
Marcadores de Tejidos Blandos (Sarcomas)
  • VIMENTINA: Marcador general de tejidos conectivos; ayuda a clasificar sarcomas.
  • DESMINA: Detecta células musculares; esencial para tumores de músculo.
  • ACTINA MUSCULO LISO: Identifica tumores de músculo liso (miomas, sarcomas).
  • S-100: Marcador versátil para melanomas y tumores nerviosos.
  • SOX-10: Muy sensible para diagnosticar melanomas y tumores de nervios.
  • CD31 / CD34: Marcadores de vasos sanguíneos; identifican tumores vasculares.
  • CD117 (c-KIT): Esencial para diagnosticar tumores GIST del sistema digestivo.
  • DOG-1: Altamente específico para GIST; complementa al CD117.
Otros Marcadores Importantes (Pronóstico y Otros)
  • KI-67: Mide qué porcentaje de células se están dividiendo (proliferación).
  • P53: Detecta mutaciones genéticas comunes; indica agresividad en muchos cánceres.
  • HER2: Evalúa agresividad; crucial para tratamientos en cáncer de mama y estómago.
  • P16: Marcador de infección por VPH; vital en cáncer de cuello uterino.
  • CALRETININA: Principal marcador para diagnosticar mesotelioma.
  • SINAPTOFISINA / CROMOGRANINA A: Identifican tumores neuroendocrinos.
Más información sobre diagnóstico de biopsias

Evaluación de células individuales o en pequeños grupos, como en el Papanicolaou, para detectar infecciones, alteraciones premalignas o malignas, ayudando a la prevención y diagnóstico temprano.

LISTA DE PRECIOS - CITOLOGÍA

PAPANICOLAOU
20Soles
EXTENDIDO DE TIROIDES (POR CADA LÁMINA)
20Soles
EXTENDIDO DE ASPIRACIÓN POR AGUJA FINA DE GLÁNDULA SALIVAL (POR CADA LÁMINA)
20Soles
Marcadores Hematolinfoides (Linfomas y Leucemias)
  • CD1a: Identifica células de Langerhans; crucial para diagnosticar la histiocitosis X.
  • CD3: El marcador universal para identificar Linfocitos T (células clave del sistema de defensa).
  • CD4: Subtipo de linfocitos T; importante en la evaluación de enfermedades inmunes y linfomas.
  • CD5: Ayuda a clasificar leucemias crónicas y linfomas de células pequeñas.
  • CD7: Uno de los marcadores más tempranos de células de defensa T; útil en leucemias agudas.
  • CD8: Identifica linfocitos T 'asesinos'; mide la fuerza del sistema inmune contra el cáncer.
  • CD10: Marcador de células germinales de los ganglios; útil en el estudio de linfomas y cáncer de riñón.
  • CD15: Característico de las células de Reed-Sternberg en el Linfoma de Hodgkin clásico.
  • CD19: Marcador fundamental para identificar todas las etapas de desarrollo de los Linfocitos B.
  • CD20: El marcador más importante para el diagnóstico y guía de tratamiento de Linfomas de células B.
  • CD21: Identifica las redes que sostienen a los linfocitos en los ganglios; útil en linfomas foliculares.
  • CD23: Ayuda a diferenciar la leucemia linfática crónica de otros tipos de linfomas.
  • CD30: Clave para el diagnóstico del Linfoma de Hodgkin y linfomas anaplásicos de células grandes.
  • CD43: Ayuda a detectar anormalidades en linfocitos B y T; útil en la clasificación de linfomas.
  • CD45: Antígeno Común Leucocitario; confirma que el tumor se origina en el sistema de la sangre.
Marcadores Epiteliales (Carcinomas)
  • Panqueratina: Marcador universal de carcinomas (tumores de origen epitelial).
  • CITOKERATIN 7: Indica origen glandular (mama, pulmón, ovario).
  • CITOKERATIN 20: Específico para el tracto digestivo (colon) y células de la piel.
  • EMA: Antígeno de membrana epitelial; útil en diversos carcinomas.
  • BER-EP4: Ayuda a distinguir el carcinoma basocelular de otros tumores cutáneos.
  • P40: El marcador más fiable para el carcinoma de células escamosas.
  • TTF-1: Identifica con precisión tumores originados en pulmón o tiroides.
  • PSA: Antígeno Prostático Específico; clave para el tejido de la próstata.
  • GATA 3: Excelente marcador para tumores de mama y de la vejiga (urotelio).
  • PAX-8: Fundamental para diagnosticar tumores de riñón, tiroides y sistema ginecológico.
Marcadores de Tejidos Blandos (Sarcomas)
  • VIMENTINA: Marcador general de tejidos conectivos; ayuda a clasificar sarcomas.
  • DESMINA: Detecta células musculares; esencial para tumores de músculo.
  • ACTINA MUSCULO LISO: Identifica tumores de músculo liso (miomas, sarcomas).
  • S-100: Marcador versátil para melanomas y tumores nerviosos.
  • SOX-10: Muy sensible para diagnosticar melanomas y tumores de nervios.
  • CD31 / CD34: Marcadores de vasos sanguíneos; identifican tumores vasculares.
  • CD117 (c-KIT): Esencial para diagnosticar tumores GIST del sistema digestivo.
  • DOG-1: Altamente específico para GIST; complementa al CD117.
Otros Marcadores Importantes (Pronóstico y Otros)
  • KI-67: Mide qué porcentaje de células se están dividiendo (proliferación).
  • P53: Detecta mutaciones genéticas comunes; indica agresividad en muchos cánceres.
  • HER2: Evalúa agresividad; crucial para tratamientos en cáncer de mama y estómago.
  • P16: Marcador de infección por VPH; vital en cáncer de cuello uterino.
  • CALRETININA: Principal marcador para diagnosticar mesotelioma.
  • SINAPTOFISINA / CROMOGRANINA A: Identifican tumores neuroendocrinos.
Más información sobre estudios citológicos

Utilización de anticuerpos específicos para identificar proteínas en los tejidos, permitiendo distinguir tipos específicos de tumores, infecciones o enfermedades autoinmunes con gran precisión.

RELACIÓN DE ANTICUERPOS PARA INMUNOHISTOQUIMICA

Buscar Marcadores (Ver lista completa)
ACTINA MUSCULO LISO ACTINA (HIF35) ADIPOFILINA
AFP (Alfa FetoProteina) ALK(CD246) AMACR (Racemase)
AMILOIDE A ANDROGENO A. CARBONICA IX (CA IX)
ARGINASE 1 ATRX BCL-2
BCL-6 BER-EP4 BETACATENIN
C-MYC CALCITONINA CALDESMON
CALPONINA CALRETININA CD1a
CD3 CD4 CD5
CD7 CD8 CD10
CD15 CD19 CD20
CD21 CD23 CD30
CD31 CD34 CD43
CD45 CD56 CD61
CD68 CD79a CD99
CD117 CD138 CDK4
CDX2 CA-125 CA 19.9
CEA CYCLIN D1 CITOKERATIN CAMS 2
CITOKERATIN OSCAR CITOKERATIN 5/6 CITOKERATIN 7
CITOKERATIN 8 CITOKERATIN 14 CITOKERATIN 17
CITOKERATIN 18 CITOKERATIN 19 CITOKERATIN 20
CITOMEGALOVIRUS COLAGENO IV CK HWM (34BE12)
CROMOGRANINA A DESMINA DOG-1
EBV/LMP-1 E-CADHERINA EMA
ERG ESTROGENO FACTOR VIII
FACTOR XIIIa FASCIN A FOXP3
FLY-1 GCDFP-15 GATA 3
GFAP GLUT-1 GLIPICAN 3
GLYCOFORINA GRANZYME B HCG (Beta)
HER2 (C-ERBB2/CB11) HEP-PAR1 HHV-8
HMB45 IDH-1 IgG
IgG-4 Ig M INI-1
IMP-3 INHIBINA KAPPA
KI67 LAMBDA LEF-1
LISOZIMA MAMAGLOBINA MELAN A/MART-1
MIELOPEROXIDASA (MPO) MIOGEINA MITF
MLH1 MSH2 MSH6
MUC 2 MUC 5AC MUC 6
MUM-1 MYO D1 MMP9
NAPSIN A NEUROFILAMENTO NGFR
OLIG 2 P16 P40
P53 P57 PANQUERATINA
PAX-5 PAX-8 PODOPLANINA / D2-40
PD-1/CD279 PD-L1 (22c3) PLAP
PMS2 PSA P-TEN
PROGESTERONA VPH S-100
SATB-2 SALL 4 SINAPTOFISINA
SOX-10 SMAD4/DPC4 STAT 6
T. PALLIDUM TDT TLE-1
TIA-1 TIROGLOBULINA TIROSINASA
TTF-1 VIMENTINA WT-1
Marcadores Hematolinfoides (Linfomas y Leucemias)
  • CD1a: Identifica células de Langerhans; crucial para diagnosticar la histiocitosis X.
  • CD3: El marcador universal para identificar Linfocitos T (células clave del sistema de defensa).
  • CD4: Subtipo de linfocitos T; importante en la evaluación de enfermedades inmunes y linfomas.
  • CD5: Ayuda a clasificar leucemias crónicas y linfomas de células pequeñas.
  • CD7: Uno de los marcadores más tempranos de células de defensa T; útil en leucemias agudas.
  • CD8: Identifica linfocitos T 'asesinos'; mide la fuerza del sistema inmune contra el cáncer.
  • CD10: Marcador de células germinales de los ganglios; útil en el estudio de linfomas y cáncer de riñón.
  • CD15: Característico de las células de Reed-Sternberg en el Linfoma de Hodgkin clásico.
  • CD19: Marcador fundamental para identificar todas las etapas de desarrollo de los Linfocitos B.
  • CD20: El marcador más importante para el diagnóstico y guía de tratamiento de Linfomas de células B.
  • CD21: Identifica las redes que sostienen a los linfocitos en los ganglios; útil en linfomas foliculares.
  • CD23: Ayuda a diferenciar la leucemia linfática crónica de otros tipos de linfomas.
  • CD30: Clave para el diagnóstico del Linfoma de Hodgkin y linfomas anaplásicos de células grandes.
  • CD43: Ayuda a detectar anormalidades en linfocitos B y T; útil en la clasificación de linfomas.
  • CD45: Antígeno Común Leucocitario; confirma que el tumor se origina en el sistema de la sangre.
Marcadores Epiteliales (Carcinomas)
  • Panqueratina: Marcador universal de carcinomas (tumores de origen epitelial).
  • CITOKERATIN 7: Indica origen glandular (mama, pulmón, ovario).
  • CITOKERATIN 20: Específico para el tracto digestivo (colon) y células de la piel.
  • EMA: Antígeno de membrana epitelial; útil en diversos carcinomas.
  • BER-EP4: Ayuda a distinguir el carcinoma basocelular de otros tumores cutáneos.
  • P40: El marcador más fiable para el carcinoma de células escamosas.
  • TTF-1: Identifica con precisión tumores originados en pulmón o tiroides.
  • PSA: Antígeno Prostático Específico; clave para el tejido de la próstata.
  • GATA 3: Excelente marcador para tumores de mama y de la vejiga (urotelio).
  • PAX-8: Fundamental para diagnosticar tumores de riñón, tiroides y sistema ginecológico.
Marcadores de Tejidos Blandos (Sarcomas)
  • VIMENTINA: Marcador general de tejidos conectivos; ayuda a clasificar sarcomas.
  • DESMINA: Detecta células musculares; esencial para tumores de músculo.
  • ACTINA MUSCULO LISO: Identifica tumores de músculo liso (miomas, sarcomas).
  • S-100: Marcador versátil para melanomas y tumores nerviosos.
  • SOX-10: Muy sensible para diagnosticar melanomas y tumores de nervios.
  • CD31 / CD34: Marcadores de vasos sanguíneos; identifican tumores vasculares.
  • CD117 (c-KIT): Esencial para diagnosticar tumores GIST del sistema digestivo.
  • DOG-1: Altamente específico para GIST; complementa al CD117.
Otros Marcadores Importantes (Pronóstico y Otros)
  • KI-67: Mide qué porcentaje de células se están dividiendo (proliferación).
  • P53: Detecta mutaciones genéticas comunes; indica agresividad en muchos cánceres.
  • HER2: Evalúa agresividad; crucial para tratamientos en cáncer de mama y estómago.
  • P16: Marcador de infección por VPH; vital en cáncer de cuello uterino.
  • CALRETININA: Principal marcador para diagnosticar mesotelioma.
  • SINAPTOFISINA / CROMOGRANINA A: Identifican tumores neuroendocrinos.

LISTA DE PRECIOS

COSTO POR UN MARCADOR SIN LECTURA 100 SOLES
COSTO POR UN MARCADOR CON LECTURA/INFORME 250 SOLES
Más información sobre Inmunohistoquímica

Análisis rápido de una muestra durante la cirugía para ayudar a tomar decisiones inmediatas sobre el tratamiento quirúrgico, proporcionando resultados en pocos minutos.

Más información sobre biopsia intraoperatoria

Estudio especializado de órganos o tejidos obtenidos mediante cirugía para evaluar la extensión de una enfermedad o confirmar un diagnóstico previo.

LISTA DE PRECIOS - PIEZAS QUIRÚRGICAS

Piezas Quirúrgicas Convencionales

VESÍCULA BILIAR 110 SOLES
APÉNDICE CECAL 110 SOLES
ÚTERO Y OVARIOS 150 SOLES
PLACENTA 80 SOLES
ÚTERO SIN OVARIO 90 SOLES
TUMOR DE PARTES BLANDAS MENOR A 4 CM 100 SOLES

Piezas de Origen Oncológico

ESTÓMAGO 250 SOLES
COLON NEOPLASICO 250 SOLES
RIÑÓN 250 SOLES
ÚTERO Y OVARIOS SIN GANGLIOS 200 SOLES
ÚTERO Y OVARIO CON GANGLIOS 300 SOLES
TUMOR DE PARTES BLANDAS MAYOR A 4 CM Y MENOR DE 10CM 150 SOLES
TUMOR DE PARTES BLANDAS MAYOR A 10 CM 200 SOLES
BIOPSIA DE MÉDULA ÓSEA SIN RETICULINA 150 SOLES
Más información sobre análisis de piezas quirúrgicas

Quiénes Somos

Nuestra misión es ayudar al avance de la medicina con diagnósticos precisos y servicios de alta calidad. Buscamos dar información valiosa para mejorar la salud de los pacientes.

La calidad es nuestra prioridad. Usamos controles estrictos y tenemos certificaciones que garantizan nuestra excelencia. Cada informe refleja nuestro compromiso con la precisión.

Recepción y Atención

Nos destacamos por usar tecnología avanzada para mejorar nuestro trabajo. Aquí hay dos puntos clave que nos hacen diferentes:

Software de Gestión de Informes:

Usamos un software especial para gestionar informes. Controla todo el proceso, desde que recibimos la muestra hasta que entregamos el resultado. Nos permite seguir cada caso en tiempo real, asegurando que la información esté segura y correcta.

Software de Gestión de Patología Digital JC Path Lab

Digitalización de Láminas Histológicas:

Hemos digitalizado nuestras láminas para mejorar el trabajo en equipo. Ahora podemos compartir imágenes de alta calidad con otros expertos. Esto también permite a nuestros clientes ver los resultados más rápido y fácil.

Microscopía de Alta Resolución

Beneficios Claves:

  • Eficiencia Operativa: Nuestro software agiliza todo. Reducimos los tiempos de respuesta. Entregamos informes de biopsias en 4 días y citologías en 3 días.
  • Precisión Mejorada: La digitalización de las láminas histológicas no solo facilita la visualización, sino que también mejora la precisión en la interpretación y análisis de las muestras.
  • Seguridad de Datos: Nuestro compromiso con la seguridad de los datos garantiza la confidencialidad de la información del paciente y cumple con los estándares regulatorios.

Estos avances muestran que estamos al día. Refuerzan nuestro compromiso con resultados precisos. En JC LAB, unimos la tradición médica con la tecnología moderna. Así ofrecemos un servicio completo y de vanguardia.

Tenemos un área especial para procesar muestras: el área macroscópica. Cuenta con campana extractora de flujo laminar para gases tóxicos, protegiendo al personal. También tiene extractores de aire en todo el ambiente. Todo está organizado con gabinetes para láminas y tacos. Así, si un paciente o institución solicita su muestra, la entregamos de inmediato.

Área de Macroscopía y Procesamiento de Muestras

En resumen, en JC LAB, nos enorgullece ser su socio confiable en anatomía patológica. Nuestro compromiso con la calidad, la innovación y la ética nos distingue, y esperamos poder colaborar con ustedes para avanzar juntos en la mejora de la salud y la medicina. Gracias por considerarnos, esperamos su invitación para discutir más a fondo posibles formas de colaboración.

Agradecido por su gentil atención, me suscribo de usted quedando a su disposición, para disipar alguna duda, que pueda sugerirle acerca del producto.

Classroom

Dermatopatología
Análisis de Dermatopatología - JC PATH LAB
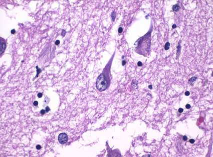
Neuropatología
Estudio de Neuropatología Especializada
Tumores de Partes Blandas
Diagnóstico de Tumores de Partes Blandas
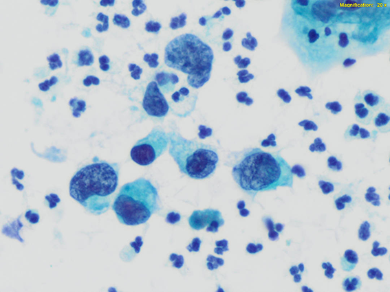
Citopatología
Servicio de Citopatología y Papanicolaou
Patología Gastrointestinal
Patología Gastrointestinal y Biopsias Digestivas
Patología Genitourinaria
Patología Genitourinaria - Diagnóstico Avanzado
Patología Ginecológica
Diagnóstico de Patología Ginecológica
Patología de Cabeza y Cuello
Estudio de Patología de Cabeza y Cuello
Patología Hepatobiliar y Pancreática
Patología Hepatobiliar y Pancreática de Precisión
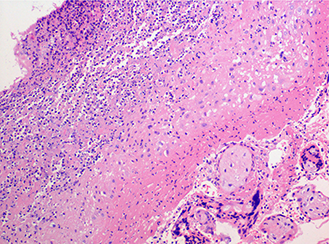
Patología de Ganglio Linfático
Biopsia de Ganglio Linfático y Hematopatología
Histología Normal
Referente de Histología Normal - JC PATH LAB
Placenta
Estudio Patológico de Placenta
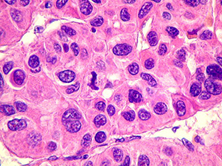
Cancer: Aspectos Patologicos
Aspectos Patológicos del Cáncer
Patología Torácica
Patología Torácica y Pulmonar

Nuestros Protocolos de Manejo

Contenido del protocolo de biopsias...

Este protocolo es rápido, eficaz y ideal para una evaluación intraoperatoria.

Principio:
La tinción de Hematoxilina-Eosina (H&E) es el estándar de oro. La hematoxilina tiñe los núcleos de azul/púrpura, mientras que la eosina tiñe el citoplasma y las estructuras extracelulares de rosa.

Ventajas de este protocolo:
- Bajo consumo de alcohol: Utiliza solo dos baños de alcohol de 95° (uno para fijar y otro para deshidratar).
- Rápido: Menos de 2 minutos.
- Eficiente: Proporciona un contraste nuclear-citoplasmático excelente.

Reactivos Necesarios:
- Fijador: Alcohol isopropílico o etanol al 95%.
- Hematoxilina Harris (o similar).
- Agua acidificada (1-2 gotas de HCl concentrado en 500 ml de agua destilada).
- Eosina acuosa o alcohólica.
- Alcohol al 95% (para deshidratar).
- Xilol o sustituto de xilol (para aclarar).
- Medio de montaje sintético.

PROCEDIMIENTO PASO A PASO:
1. Fijación Inmediata: Sumergir la impronta inmediatamente después de tomarla en Alcohol al 95% durante 30 segundos. Esto previene el secado al aire y la distorsión celular.
2. Escurrir el exceso de alcohol.
3. Tinción Nuclear (Hematoxilina): Sumergir el portaobjetos en Hematoxilina Harris durante 20-30 segundos.
4. Enjuagar con agua corriente hasta que el agua salga clara (20-30 segundos).
5. Diferenciación: Sumergir brevemente (1-3 inmersiones rápidas) en Agua acidificada. Este paso elimina el exceso de hematoxilina de los citoplasmas. ¡No exceder el tiempo!
6. Enjuagar inmediatamente en agua corriente (10 segundos).
7. "Azuleo": Sumergir en agua con un pH ligeramente alcalino (agua del grifo es suficiente) durante 10 segundos para volver los núcleos de un azul brillante.
8. Tinción Citoplasmática (Eosina): Sumergir en Eosina durante 10-20 segundos.
9. Escurrir el exceso.
10. Deshidratación y Aclarado: Sumergir en Alcohol al 95% (2 baños rápidos de 5-10 segundos cada uno) para deshidratar.
11. Sumergir en Xilol o sustituto de xilol (2 baños de 30 segundos cada uno) para aclarar.
12. Montaje: Montar con medio de montaje sintético y cubrir con un cubreobjetos.

Nota: Para una evaluación ultra-rápida (menos de 60 segundos), muchos tecnólogos utilizan tinciones tipo Diff-Quik (Romanowsky modificado), que son aún más rápidas y usan muy poco alcohol, pero el contraste H&E es más familiar para los patólogos en el contexto intraoperatorio.

El Pap es una tinción policromática que permite un detallado estudio de la cromatina y la diferenciación citoplasmática (queratinización, metaplasia, etc.).

Principio:
Utiliza múltiples colorantes (hematoxilina, Orange G, EA-50 o EA-65) que se diferencian con alcohol acidificado para obtener una gama de colores.

Modificaciones para eficiencia:
- Volúmenes reducidos: Usar cubetas pequeñas o frascos de boca estrecha para minimizar la evaporación y el volumen de reactivo necesario.
- Alcohol acidificado reutilizable: El alcohol acidificado para la diferenciación puede usarse para varias series de tinciones si se controla su fuerza.
- Baños de alcohol de menor concentración: Se puede utilizar etanol al 95% para la deshidratación inicial y final en lugar de al 100%, reduciendo costos.

Reactivos Necesarios:
- Fijador: Alcohol etílico al 95% (Spray citofijador o en baño).
- Hematoxilina de Papanicolaou (ej. Harris o Gill).
- Alcohol acidificado (0.5% HCl en alcohol al 70% o 95%).
- Solución de Orange G.
- Solución de EA-50 o EA-65 (Eosina Azure).
- Alcohol al 95% (para deshidratar).
- Alcohol absoluto (opcional, se puede sustituir por 95% en la mayoría de pasos).
- Xilol o sustituto de xilol.
- Medio de montaje.

Procedimiento Paso a Paso:
1. Fijación: Las muestras (LBC o convencionales) deben estar fijadas inmediatamente en alcohol etílico al 95% durante un mínimo de 15 minutos. La fijación adecuada es crítica.
2. Hidratación: Sumergir en Alcohol al 70% y luego en Agua destilada (1 min cada uno). Esto prepara las células para la tinción acuosa.
3. Tinción Nuclear: Hematoxilina durante 3-5 minutos.
4. Enjuagar en agua corriente.
5. Diferenciación (Paso Ácido Clave): Sumergir en Alcohol acidificado (0.5% HCl) por 2-5 inmersiones rápidas. Este es el paso más crítico. El exceso de tiempo aquí destruirá la tinción nuclear.
6. Enjuagar exhaustivamente en agua corriente (5-10 minutos).
7. "Azuleo": Sumergir en agua corriente o agua con un poco de bicarbonato/litro (1-2 minutos).
8. Deshidratación: Sumergir en Alcohol al 70% y luego en Alcohol al 95% (1 min cada uno).
9. Tinción Citoplasmática: Orange G durante 1-2 minutos.
10. Enjuagar en 2 baños de Alcohol al 95% (brevemente, para eliminar el exceso).
11. EA-50 o EA-65 durante 2-5 minutos (ajustar según la reactividad del lote).
12. Enjuagar en 2 baños de Alcohol al 95% (brevemente). 13. Deshidratación Final y Aclarado:
- Sumergir en Alcohol al 95% (2 baños de 1 minuto cada uno). Este paso puede hacerse con alcohol al 95% en lugar de absoluto.
- Si se requiere mayor claridad, usar un baño de Alcohol absoluto (1 min).
- Sumergir en Xilol o sustituto (2-3 baños de 2 minutos cada uno).
14. Montaje: Montar con medio de montaje de resina sintética.

Consejo de Eficiencia:
El alcohol acidificado (Paso 4) es donde se gasta más ácido. Prepare volúmenes pequeños y cámbielo cuando note que diferencia demasiado lento (núcleos pálidos) o demasiado rápido (pérdida de núcleos en todas las muestras). El control visual es esencial.

Tiempos exactos, contingencias y controles de calidad para obtener láminas diagnósticas óptimas (temperatura ambiente 20-25 °C).

1. Pre-coloración
Paso Reactivo Tiempo Notas críticas
1 Fijación Alcohol-Eter 1:1 30 min (máx 24 h) Tapar; evita autolisis
2 Hidratación – Agua corriente 2 min Cambiar si el agua se enturbia
2. Tinción nuclear (Hematoxilina Harris)
Paso Reactivo Tiempo Indicadores / control
3 Hematoxilina Harris 2 min 30 s Filtrar antes de usar
4 Agua corriente 30 s Lavado por arrastre
5 Diferenciación HCl 1 % 3-5 s Fondo apenas claro
6 Agua corriente 30 s Detener ácido
7 Azulación – Agua amoniacal 30-45 s Núcleo azul intenso
8 Agua corriente 2 min Eliminar alcali; secar borde
3. Tinción citoplasmática
Paso Reactivo Tiempo Objetivo / observación
9 Alcohol 96 % 30 s Pre-deshidratación
10 Orange G 1 min 30 s Queratina → naranja
11 Alcohol 96 % 30 s Lavado
12 EA-50 2 min Citoplasma: rosa/verde/pardo
13 Alcohol 96 % 30 s Retirar colorante libre
14 Alcohol 96 % (2.º baño) 30 s Asegura limpieza
4. Deshidratación – Aclaramiento – Montaje
Paso Reactivo Tiempo Indicador
15 Alcohol absoluto I 1 min Sin turbidez
16 Alcohol absoluto II 1 min Deshidratación completa
17 Xilol I 1 min Muestra transparente
18 Xilol II 1 min Bordes irisados
19 Resina de montaje Inmediato Sin burbujas; índice refracción 1,48-1,52

La Inmunohistoquímica (IHQ) es una herramienta diagnóstica fundamental que combina técnicas histológicas, inmunológicas y químicas para identificar componentes tisulares específicos a través de la interacción antígeno-anticuerpo.

¿Cómo funciona la IHQ?

La IHQ detecta antígenos específicos (proteínas/carbohidratos) mediante el reconocimiento antígeno-anticuerpo, permitiendo visualizar la localización celular de marcadores específicos.

Tipos de Anticuerpos

Monoclonales

Reconocen un único epítopo (clon único). Son altamente específicos. Fabricados mediante hibridomas.

Policlonales

Reconocen múltiples epítopos. Más sensibles pero menos específicos. Mayor tinción de fondo.

Sistemas de Detección

Método Directo

El anticuerpo primario está marcado. Rápido pero requiere más anticuerpo (caro).

Método Indirecto

Se utiliza un anticuerpo secundario marcado. Más versátil, sensible y económico.

Localización de Marcadores

Membranoso

  • CD20, CD3, CD45
  • HER2, PD-L1
  • E-cadherina, BerEP4

Nuclear

  • Factores de Transcripción
  • TTF-1, p53, p40
  • PAX8, GATA3, SOX10

Citoplasmático

  • Citoqueratinas (AE1/AE3)
  • Vimentina, Desmina
  • S100 (Nuclear y Citopl)

Enfoque en Neoplasias Indiferenciadas

Ante un tumor de origen desconocido, se utiliza un panel de cribado inicial (Screening Panel) para determinar el linaje:

Resultado IHQ Linaje Probable
CK+ / CD45- / S100- Epitelial (Carcinoma)
CD45+ / CK- / S100- Linfoide (Linfoma)
S100+ / SOX10+ / CK- Melanocítico / Neurogénico
Vimentina+ / CK- / CD45- Mesenquimal (Sarcoma)

El "Curso del Intestino" (The Gut Course)

Este algoritmo orienta la búsqueda del primario basado en la frecuencia estadística y el sitio de metástasis:

Demografía Clave

  • Hombres: Próstata, Pulmón, Colon
  • Mujeres: Mama, Pulmón, Colon, GYN
  • Jóvenes: Células Germinales, Tiroides

Sitio de Metástasis

  • Hueso: Mama, Pulmón, Próstata, Riñón
  • Hígado: Colon, Páncreas, Mama, Pulmón
  • Cerebro: Pulmón, Mama, Melanoma, Renal

Reglas de Oro del Patólogo

  • No interpretes IHQ sin morfología previa: La IHQ debe confirmar o refinar una sospecha morfológica.
  • La IHQ es estadística, no absoluta: Existen expresiones aberrantes (ej. CK+ en sarcomas).
  • Confía en Paneles, no en tinciones aisladas: Un solo marcador puede fallar o ser inespecífico.

Marcadores de Linaje

Diferenciación Marcadores Clave
Epitelial AE1/AE3, CAM5.2, BerEP4, Claudina-4, EMA
Mesotelial Calretinina, WT1 (Nuclear), D2-40, CK5/6
Músculo Liso/Mioepitelial SMA, Calponina, Desmina, H-Caldesmón
Neuroendocrino Sinaptofisina, Cromogranina, CD56, INSM1
Melanocítico SOX10, S100, Melan-A, HMB45
Germinal SALL4, PLAP, OCT4, CD117
Endotelial ERG (Nuclear), CD31, CD34

Sitios Primarios Comunes

Tórax y Abdomen

  • Pulmón (Adeno): TTF-1, Napsina A
  • Mama: GATA3, RE, GCDFP-15
  • GI (Colon): SATB2, CDX2, CK20
  • Hígado (CHC): Arginasa-1, HepPar-1

Urogenital y Otros

  • Riñón (CCR): PAX8, RCCma, pVHL
  • Próstata: NKX3.1, PSA, PSAP
  • Tiroides: PAX8, TTF-1, Tiroglobulina
  • Urotelio: GATA3, Uroplakina II, p40

¿Eso es Positivo?

La interpretación requiere evaluar la intensidad y el porcentaje de células teñidas, comparando con controles externos e internos.

Patrones Aberrantes

Ciertos tumores expresan marcadores inesperados que pueden causar diagnósticos erróneos:

  • CK+ en Sarcomas: Sinovial, Epitelioide, Angiosarcoma.
  • PAX8+ No Renales: AdenoCA Seroso de Ovario, Tiroides, Timo.
  • S100+ No Melanocíticos: Tumores neurales, Mioepiteliales, Mama.

Desafíos de Tinción

  • Tinción Cruzada: PAX8 policlonal puede marcar linfocitos B.
  • Focalidad: Marcadores como CDH17 pueden ser muy heterogéneos.
  • Anticipación: El CK20 "puntiforme" es clave para Merkel.

Caso A: Merkel vs Pulmón

Ante un tumor de células pequeñas:

  • Merkel: CK20+ (Puntiforme), TTF-1-, NE+
  • Célula Pequeña: TTF-1+, CK20-, NE+

Caso B: Tumor de Origen Renal

Identificación de metástasis de CPCR Tipo II:

  • Inmunofenotipo: PAX8+, P504S+, CK7-, TTF-1-
  • Morfología: Arquitectura papilar, nucleolos prominentes.

*Este compendio técnico se basa en las revisiones actualizadas de Kandukuri et al. (Arch Pathol Lab Med, 2017) y Rekhtman (Quick Reference Handbook for Surgical Pathologists).

La clasificación de Bethesda para tiroides tiene 6 categorías diagnósticas, y cada una tiene criterios citológicos específicos:

Categoría I: No diagnóstica/insatisfactoria
Muestras con problema de cantidad o calidad, generalmente menos de 6 grupos con al menos 10 células foliculares cada uno.
Puede incluir muestras con material hemático, macrófagos, células cilíndricas respiratorias o artefactos.
No se puede emitir diagnóstico definitivo.

Categoría II: Benigna
Lesiones con células foliculares normales o con cambios reactivos.
Puede incluir bocio coloide, nódulos hiperplásicos, tiroiditis.
Ausencia de atipia o signos de malignidad.

Categoría III: Atipia o lesión folicular de significado indeterminado
Presencia de atipia estructural o nuclear, pero insuficiente para clasificar como sospechoso o maligno.
Problemas técnicos o morfológicos que impiden diagnóstico claro.
Riesgo variable de malignidad, alrededor del 16%.

Categoría IV: Neoplasia folicular o lesión folicular sospechosa
Presencia de células foliculares en patrón que sugiere neoplasia, como proliferación folicular.
Ausencia de criterios claros de carcinoma.

Categoría V: Sospechoso de malignidad
Células con características sugestivas de carcinoma papilar o malignidad clara.
No concluyente, pero con alta sospecha.

Categoría VI: Maligno
Características citológicas concluyentes de carcinomas, principalmente carcinoma papilar.
Diagnóstico definitivo.

Estos criterios guían el diagnóstico citológico y el manejo clínico de los nódulos tiroideos según la Punción Aspiración con Aguja Fina

Zona Médica y Recursos para Especialistas

Brindamos soporte técnico avanzado y recursos académicos para cirujanos oncológicos y patólogos. Explore nuestras guías de referencia y protocolos estandarizados.

Acceder a la Zona Médica Patrones de Dermatopatología
Asistente JC Path Lab
En línea • Respuesta rápida
×
Asistente del Dr. Castillo está escribiendo...
¿Tienes una orden médica? Haz clic aquí para enviarla y cotizar al instante. 📸
×

Esta información es de carácter educativo y orientativo.
WhatsApp Llamar
×